Водяные прыщи на коже — распространенная проблема, вызывающая физический дискомфорт и психологический стресс. В статье рассмотрим причины появления водянистых высыпаний, их симптомы и методы лечения. Понимание этих аспектов поможет читателям распознать проблему, обратиться к специалисту и выбрать эффективные способы борьбы с кожными проявлениями.
Внешние причины
Водянистые пузырьки на коже могут возникать по множеству причин, которые можно условно разделить на «внешние» факторы. К ним относятся:
- Раздражение. Избыточное потоотделение или переохлаждение способны вызывать раздражение кожи. Чтобы избежать неприятных последствий, следует подбирать одежду в соответствии с погодными условиями, а в жаркую погоду лучше отказаться от синтетических тканей и облегающих моделей.
- Аллергия. Контакт с аллергенами также может привести к образованию прыщей. Аллергическая реакция часто сопровождается зудом, покраснением кожи и отечностью. Если не предпринять меры, могут возникнуть чихание, слезотечение, а в худшем случае — отек Квинке, удушье или анафилактический шок.
Крайне важно своевременно определить аллерген и прекратить с ним контакт. При аллергии рекомендуется принимать антигистаминные препараты, а в случае ухудшения состояния — вызывать скорую помощь.
Врачи подчеркивают, что водянистые пузырьки могут появляться по разным причинам. Одной из наиболее распространенных является аллергическая реакция на косметику, моющие средства или продукты питания. Также стоит учитывать, что такие высыпания могут быть следствием вирусных инфекций, например, ветряной оспы, которая вызывает характерные пузырьки. Кроме того, дерматологи отмечают, что водянистые прыщи могут возникать из-за перегрева кожи, особенно в жаркую погоду или при интенсивных физических нагрузках. Не стоит игнорировать такие симптомы, так как они могут указывать на более серьезные заболевания, включая экзему или дерматит. При появлении водянистых прыщей рекомендуется обратиться к врачу для точной диагностики и назначения соответствующего лечения.
Эксперты в области дерматологии отмечают, что водянистые пузырьки на коже могут возникать по различным причинам. Одной из основных является аллергическая реакция на косметические средства, моющие препараты или пищу. В таких случаях важно выявить аллерген и исключить его из повседневной жизни. Также водянистые прыщи могут быть следствием вирусных инфекций, таких как ветряная оспа, что требует медицинского вмешательства. Кроме того, специалисты подчеркивают, что стресс и гормональные изменения могут способствовать появлению таких высыпаний. Важно помнить, что самолечение может усугубить ситуацию, поэтому при появлении водянистых прыщей рекомендуется обратиться к врачу для точной диагностики и назначения адекватного лечения.

Эксперты в области дерматологии отмечают, что водяные прыщи на коже могут возникать по различным причинам. Одной из наиболее распространенных является аллергическая реакция на косметические средства или бытовую химию. Также часто причиной появления таких высыпаний становятся вирусные инфекции, например, ветряная оспа или герпес. Важно учитывать, что стрессы и гормональные изменения также могут способствовать возникновению водянистых пузырьков. Специалисты рекомендуют не игнорировать эти симптомы и обращаться к врачу для диагностики и назначения соответствующего лечения. Правильный уход за кожей и соблюдение гигиенических норм могут значительно снизить риск появления подобных высыпаний.
Внутренние причины прыщей
Они могут локализоваться в любой области в зависимости от заболевания. Заниматься самолечением в этом случае категорически запрещено, поскольку прыщи — это всего лишь признак серьёзного заболевания и лечить, в первую очередь, надо именно его.
Полный список внутренних причин выглядит таким образом:
| Причина появления водяных прыщей | Характерные особенности | Рекомендуемые действия |
|---|---|---|
| Аллергический контактный дерматит | Мелкие, зудящие пузырьки, часто расположенные группами, появляются после контакта с аллергеном (никель, латекс, косметика, растения). | Исключить контакт с аллергеном, использовать антигистаминные препараты, местные кортикостероиды по назначению врача. |
| Дисгидроз (экзема) | Глубокие, зудящие пузырьки на ладонях, подошвах, боковых поверхностях пальцев. Могут сливаться, образуя крупные волдыри. Часто обостряется при стрессе, контакте с водой, моющими средствами. | Избегать провоцирующих факторов, использовать увлажняющие кремы, местные кортикостероиды, при необходимости – системные препараты. |
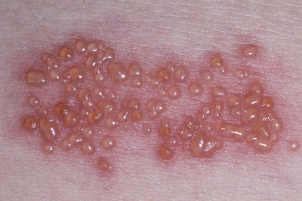
| Герпес (простой герпес, опоясывающий лишай) | Группы мелких, болезненных пузырьков на покрасневшей коже, часто сопровождаются жжением, покалыванием. Располагаются на губах, лице, туловище (при опоясывающем лишае – по ходу нерва). | Противовирусные препараты (ацикловир, валацикловир), обезболивающие средства. |
| Ветряная оспа (ветрянка) | Повсеместные высыпания в виде красных пятен, которые быстро превращаются в пузырьки с прозрачной жидкостью, затем в корочки. Сопровождается зудом и повышением температуры. | Симптоматическое лечение (антигистаминные, жаропонижающие), обработка элементов антисептиками. |
| Контагиозный моллюск | Безболезненные, плотные, перламутровые узелки с пупковидным вдавлением в центре. Могут быть единичными или множественными. | Удаление элементов (криодеструкция, лазер, кюретаж), противовирусные препараты по назначению врача. |
| Потница (милиария) | Мелкие, прозрачные пузырьки, возникающие при закупорке потовых желез, чаще в жаркую погоду или при избыточном потоотделении. | Носить свободную одежду из натуральных тканей, избегать перегрева, использовать присыпки. |
| Укусы насекомых | Единичные или множественные пузырьки, часто с красным ободком, сопровождаются зудом. | Антигистаминные препараты, местные средства для снятия зуда (каламиновый лосьон). |
| Солнечный ожог (тяжелая степень) | Крупные, болезненные волдыри, наполненные жидкостью, возникают после длительного пребывания на солнце без защиты. | Охлаждающие компрессы, противовоспалительные средства, при необходимости – медицинская помощь. |
Интересные факты
Вот несколько увлекательных фактов о водяных пузырьках на коже и причинах их появления:
- Вирусные инфекции: Одной из основных причин возникновения водяных пузырьков является вирусная инфекция, например, ветряная оспа. Вирус варицелла-зостер вызывает зудящие пузырьки, которые могут напоминать водяные прыщи, и часто сопровождаются другими симптомами, такими как высокая температура.
- Аллергические реакции: Водяные пузырьки могут появляться в результате аллергических реакций на определенные вещества, такие как косметические средства, моющие препараты или укусы насекомых. В таких случаях пузырьки могут свидетельствовать о контактном дерматите, который требует внимательного подхода к выявлению и устранению аллергена.
- Климатические условия: Влажный и жаркий климат может способствовать образованию водяных пузырьков, особенно у людей, склонных к потнице. Это состояние возникает, когда пот застаивается в протоках потовых желез, что приводит к образованию маленьких пузырьков на коже, чаще всего в местах трения или повышенной потливости.
Герпес
Появление прыщиков в уголках рта или в области носогубной складки может свидетельствовать о наличии герпеса. У здорового человека этот вирус обычно не проявляется, однако при ослаблении иммунной системы возникают характерные высыпания. Чаще всего они появляются одновременно с простудными заболеваниями или сразу после них.
Для профилактики этого недуга в осенне-зимний период рекомендуется укреплять иммунитет и принимать витаминно-минеральные комплексы.
Водянистые высыпания на коже часто вызывают беспокойство и множество вопросов. Многие замечают, что такие прыщи могут возникать по разным причинам. Одной из наиболее распространенных является аллергическая реакция на косметику или бытовую химию. Кроме того, водяные прыщи могут быть следствием вирусных инфекций, таких как ветряная оспа, или проявлением герпеса. Не стоит забывать, что стресс и переутомление также могут негативно сказаться на состоянии кожи. Некоторые связывают появление таких высыпаний с нарушениями в работе иммунной системы. В любом случае, при возникновении водяных прыщей рекомендуется обратиться к дерматологу для установления точной причины и назначения соответствующего лечения.

Опоясывающий лишай
Это еще один тип герпетической инфекции, однако он значительно более серьезен. Он возникает только у тех, кто ранее перенес ветряную оспу. Сыпь чаще всего появляется на спине, но может также проявляться на лице. Жидкость, содержащаяся в пузырьках, насыщена вирусом, что делает возможным заражение как при непосредственном контакте, так и через воздух.
Распространение сыпи сопровождается неприятными ощущениями. У пациента возникают интенсивные боли вдоль нервных путей. У людей с ослабленным иммунитетом могут наблюдаться общее недомогание, ломота в суставах и повышение температуры. Вирус способен вызывать повреждение нервной системы, что приводит к разрушению периферических нервов и вызывает сильные болевые ощущения.
Лечение должен назначать только врач:
- он прописывает противовирусные препараты;
- при наличии болей назначает обезболивающие средства, а в случае сильных болей может провести новокаиновую блокаду пораженного нерва;
- рекомендует седативные или снотворные средства, если наблюдаются проблемы со сном;
- при выраженном зуде назначает антигистаминные препараты.
Также возможно назначение антибиотиков и обработка кожи антисептиками, такими как зеленка или раствор фурацилина.
Чесоточный клещ
При контакте с кожей из внешней среды может возникнуть образование водянистых пузырьков на нижних конечностях. Микроскопический клещ, относящийся к группе внутрикожных кровососущих паразитов, проникает в эпидермис, где самка прокладывает ходы и откладывает яйца.
Чесотка, заболевание, вызванное этим паразитом, является инфекционным и может поразить любого, так как передается через общие предметы быта или одежду.
Основным признаком этой болезни является сильный зуд, что и объясняет второе название чесоточника — чесоточному зудню. Зуд усиливается в ночное время, поскольку клещи активны именно в это время суток. Увеличение зуда в определенные часы может даже привести к нервно-психическим расстройствам. Однако не все формы чесотки сопровождаются зудом — у людей с ослабленным иммунитетом может наблюдаться только шелушение кожи.
На коже появляются пузырьки, а также видны ходы паразитов, длина которых достигает около 7 мм. Это извивающиеся линии сероватого или белесого оттенка, заканчивающиеся папулами — норками, где самка откладывает до 25 яиц. В результате расчесывания на коже могут образоваться язвы и гнойные ссадины.
Чаще всего ходы можно обнаружить в любимых местах клещей:
- боковая сторона пальцев и промежутки между ними;
- тыльная сторона ладоней и запястья в области сгиба;
- сгибы коленей и локтей;
- поясничная область;
- зона пупка, талии и подмышек;
- передняя часть бедер и голеней.
У детей могут быть поражены подошвы ног, ладони, лицо и волосы на голове.
Лечение чесотки заключается в полном уничтожении клещей и их личинок в коже. Для этого применяются специальные мази, аэрозоли и гели. Эти препараты размягчают роговой слой и проникают вглубь ходов, уничтожая паразитов. Подбор подходящего средства лучше всего доверить дерматологу.
Кроме обработки кожи специальными средствами, важно также провести санитарную обработку помещения и постельного белья.

Грибковые заболевания
Грибковые поражения обычно начинаются с верхней части стоп или ладоней, и если не уделить должного внимания заболеванию или использовать неподходящие лекарства, инфекция может углубиться.
Поскольку существует множество возбудителей грибковых инфекций — микозов — важно обратиться к врачу, который сможет определить конкретный гриб и назначить соответствующие препараты, эффективно действующие на него. В процессе лечения применяются как наружные, так и внутренние средства, а также препараты, способствующие восстановлению защитных и барьерных функций кожи.
Ветряная оспа
Попадание инфекции в организм может привести к появлению высыпаний. Одной из наиболее распространенных причин сыпи является ветрянка, известная также как ветряная оспа, которая считается детским инфекционным заболеванием. В детском возрасте болезнь протекает значительно легче, чем у взрослых. Она начинается внезапно с резкого повышения температуры до 39-40 °C. У заболевшего наблюдаются слабость и головная боль. Однако основным признаком является сыпь, которая охватывает все тело и может появляться даже на волосистой части головы.
Лечение ветрянки сосредоточено на облегчении симптомов: принимаются жаропонижающие средства, а высыпания обрабатываются антисептиками. Антигистаминные препараты помогают снизить зуд.
В большинстве случаев организм самостоятельно справляется с заболеванием. Однако в редких ситуациях ветрянка может привести к осложнениям, таким как ветряночная пневмония.
Дисгидроз
Это неинфекционное заболевание. Оно относится к хроническим кожным недугам и связано с нарушением работы потовых желез и их закупоркой. Наиболее подвержены этой болезни люди с повышенной потливостью рук и ног.
На начальном этапе на ладонях или стопах появляются плотные пузырьки с прозрачной жидкостью внутри. Они вызывают сильный зуд и ощущение жжения, а также сопровождаются отёчностью и покраснением кожи. В дальнейшем сыпь может распространиться на другие участки тела.
Заболевание протекает волнообразно — периоды ремиссии сменяются рецидивами (чаще всего в межсезонье). Даже при правильно подобранной терапии нельзя гарантировать полное выздоровление.
Киста
Если на веке появился прозрачный пузырёк, это может быть киста, возникшая из-за закупорки железы. Обычно она не вызывает боли или зуда. Киста может исчезнуть после проведения массажа и использования определённых медикаментов.
Блефарит
Водянистая пузырьковая сыпь на нижнем веке может указывать на блефарит — воспаление края век. Это состояние может быть вызвано как бактериями, так и вирусами, однако именно вирусные инфекции часто приводят к образованию водянистых образований. В любом случае важно обратиться к офтальмологу и строго придерживаться его советов.
Специфические причины у детей
Помимо перечисленных ранее причин, у детей сыпь может возникать по следующим причинам:
- Потница. Водянистые пузырьки могут появляться на ягодицах и в складках кожи.
- Дерматит. У малышей подобные высыпания часто возникают в области подгузника, что связано с раздражением кожи от продуктов жизнедеятельности или недостатком вентиляции.
- Стрептодермия. Это инфекционное заболевание, требующее изоляции. Сначала сыпь появляется на руках и лице в виде красного пятна, которое затем превращается в пузырек.
Высыпания любого характера на коже ребенка требуют немедленного обращения к врачу! Только специалист сможет установить диагноз и назначить соответствующее лечение.
Таким образом, водянистые прыщики могут вызывать множество неудобств. Важно помнить, что их нельзя чесать, так как в жидкости могут находиться вирусы, которые при вскрытии могут распространиться. Чтобы избежать появления различных высыпаний, поддерживайте иммунитет и следите за личной гигиеной.
Методы диагностики и лечения водяных прыщей
Водяные пузырьки на коже могут вызывать неприятные ощущения и тревогу, поэтому крайне важно правильно установить их причину и выбрать подходящее лечение. Процесс диагностики начинается с осмотра кожи и сбора медицинской истории, что позволяет врачу выявить возможные факторы, способствующие возникновению высыпаний.
Первый этап диагностики — это визуальный осмотр. Специалист обращает внимание на размер, цвет, расположение и количество пузырьков. Это может помочь определить их природу: являются ли они следствием аллергической реакции, инфекционного процесса или проявлением другого заболевания. В некоторых случаях может потребоваться дополнительное обследование, такое как анализы крови или соскобы с кожи, чтобы исключить грибковые или бактериальные инфекции.
Лечение водяных пузырьков зависит от их причины. Если высыпания вызваны аллергией, важно выявить и устранить аллерген. В таких случаях могут быть назначены антигистаминные препараты или кортикостероидные мази для уменьшения воспаления и зуда.
При инфекционных причинах, таких как вирусные или бактериальные инфекции, лечение может включать противовирусные препараты или антибиотики. Например, при герпетической инфекции могут быть назначены противовирусные средства, такие как ацикловир.
Если водяные пузырьки связаны с дерматологическими заболеваниями, такими как экзема или псориаз, лечение будет направлено на управление симптомами и поддержание ремиссии. Это может включать использование увлажняющих средств, кортикостероидных мазей и других противовоспалительных препаратов.
В некоторых случаях, когда водяные пузырьки возникают на фоне стресса или гормональных изменений, может потребоваться консультация эндокринолога или психотерапевта. Важно помнить, что лечение должно быть комплексным и индивидуально подобранным для достижения наилучших результатов.
Кроме того, для улучшения состояния кожи могут быть рекомендованы народные средства, такие как компрессы с отварами трав (например, ромашки или календулы), обладающие противовоспалительными свойствами. Однако перед использованием любых домашних средств следует проконсультироваться с врачом, чтобы избежать ухудшения состояния.
В итоге, диагностика и лечение водяных пузырьков требуют внимательного подхода и могут варьироваться в зависимости от причины их появления. Рекомендуется обращаться к специалисту для получения точного диагноза и назначения адекватного лечения.
Профилактика водяных прыщей
На коже является важным аспектом поддержания здоровья и красоты кожи. Существует несколько ключевых рекомендаций, которые помогут снизить риск появления этих неприятных образований.
1. Соблюдение гигиенических норм. Регулярное мытье кожи с использованием мягких очищающих средств помогает удалить загрязнения и избыток кожного сала, что снижает вероятность закупорки пор. Важно не использовать слишком горячую воду, так как она может пересушить кожу и спровоцировать её раздражение.
2. Увлажнение кожи. Сухая кожа более подвержена образованию водяных прыщей. Использование увлажняющих кремов и лосьонов, особенно в холодное время года, помогает поддерживать оптимальный уровень влаги в коже. Выбирайте продукты, содержащие гиалуроновую кислоту, глицерин или натуральные масла.
3. Правильное питание. Здоровое питание играет важную роль в состоянии кожи. Употребление достаточного количества фруктов, овощей, орехов и рыбы, богатой омега-3 жирными кислотами, способствует улучшению состояния кожи. Избегайте избыточного потребления сахара и жирной пищи, так как они могут способствовать воспалительным процессам.
4. Избегание стрессов. Стресс может негативно сказываться на состоянии кожи, провоцируя высыпания. Практики релаксации, такие как йога, медитация или просто прогулки на свежем воздухе, помогут снизить уровень стресса и улучшить общее состояние организма.
5. Защита от солнца. Ультрафиолетовые лучи могут вызывать повреждение кожи и способствовать образованию прыщей. Используйте солнцезащитные кремы с высоким SPF, особенно в летний период, и старайтесь избегать длительного пребывания на солнце.
6. Правильный выбор косметики. Используйте только качественные и проверенные косметические средства, которые не содержат комедогенных ингредиентов. Обратите внимание на состав и выбирайте продукты, подходящие для вашего типа кожи.
7. Регулярные осмотры у дерматолога. Профилактические визиты к специалисту помогут выявить возможные проблемы на ранних стадиях и получить рекомендации по уходу за кожей. Это особенно важно для людей с предрасположенностью к кожным заболеваниям.
Следуя этим рекомендациям, вы сможете значительно снизить риск появления водяных прыщей и поддерживать здоровье своей кожи на высоком уровне.
Вопрос-ответ
Почему появляются водянистые прыщи?
Волдыри – это приподнятые над поверхностью кожи пузырьки с жидкостью (лимфой, сывороткой, плазмой крови или гноем). Они формируются в результате местного отека верхнего слоя дермы (собственно кожи) и расширения сосудов из-за воспаления, травмы, инфекции или других патологических процессов.
Почему у меня появляются водянистые прыщи?
«Волдыри могут образовываться по разным причинам, включая трение, травму, отек, аутоиммунные заболевания, диабет или прием лекарств», — отмечает доктор Айви Ли, медицинский директор Direct Dermatology в Пасадене.
От чего появляется водяница?
Основной фактор, способствующий его появлению, — аллергическая реакция. Выброс биологически активных веществ (простагландинов, лейкотриенов, гистамина) может спровоцировать иммунный ответ, одним из проявлений которого становится именно дисгидроз, который вызывает развитие тканевых воспалительных реакций.
Что означают водянистые прыщи?
Волдырь — это приподнятый участок кожи, заполненный прозрачной жидкостью. Волдыри обычно образуются для защиты повреждённой кожи и способствуют её заживлению. Причины появления волдырей могут быть разными, включая трение кожи, вирусные инфекции и воздействие определённых химических веществ.
Советы
СОВЕТ №1
Регулярно очищайте кожу. Используйте мягкие очищающие средства, чтобы удалить излишки масла и загрязнения, которые могут способствовать образованию водяных прыщей. Избегайте агрессивных скрабов, которые могут раздражать кожу.
СОВЕТ №2
Следите за своим питанием. Употребление продуктов с высоким содержанием сахара и жиров может усугубить состояние кожи. Включите в рацион больше свежих овощей, фруктов и продуктов, богатых омега-3 жирными кислотами.
СОВЕТ №3
Избегайте стресса. Стресс может вызывать гормональные изменения, которые, в свою очередь, могут привести к появлению водяных прыщей. Практикуйте методы релаксации, такие как йога или медитация, чтобы снизить уровень стресса.
СОВЕТ №4
Консультируйтесь с дерматологом. Если водяные прыщи не проходят или сопровождаются другими симптомами, обязательно обратитесь к специалисту. Он сможет назначить правильное лечение и дать рекомендации, подходящие именно для вашего типа кожи.


