Зубной камень — твердые отложения на зубах, образующиеся из минерализованного налета. Его наличие может вызвать кариес и заболевания десен. В этой статье рассмотрим лучшие способы удаления зубного камня в домашних условиях, что поможет поддерживать здоровье полости рта и избежать дорогих визитов к стоматологу. Эффективные методы ухода за зубами и деснами помогут сохранить их чистоту и здоровье.
Камни на зубах: причины появления и специальные средства для удаления
На зубах каждого человека в течение суток образуется определенное количество мягкого налета, состоящего из остатков пищи, бактерий и продуктов их жизнедеятельности. Если этот налет не удаляется на протяжении длительного времени, к нему присоединяется кальций, что приводит к его затвердеванию. В результате на поверхности зубной эмали формируются зубные камни.
Как распознать зубной камень?
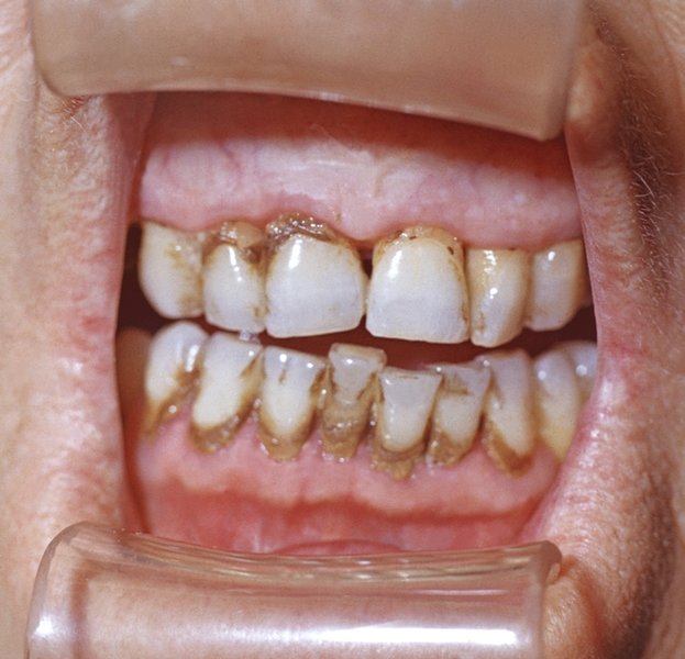
Зубной камень легко узнать. Это твердая масса, цвет которой может варьироваться от светло-желтого до темно-коричневого.
Наличие зубных камней может вызывать дискомфорт, неприятный запах изо рта, кровоточивость десен, развитие кариеса и даже потерю зуба.
Перед тем как начать лечение зубного камня или пытаться справиться с ним самостоятельно, важно разобраться в причинах его появления. Понимание факторов, способствующих образованию налета, поможет в профилактике и позволит предпринять меры для предотвращения повторного появления проблемы или ее распространения на другие зубы.
Некоторые причины
- Неправильная и нерегулярная гигиена полости рта, использование некачественной зубной щетки, отказ от применения ополаскивателей, зубной нити и очищения языка, а также неверно подобранная зубная паста.
- Курение, употребление алкоголя, чрезмерное потребление кофе и черного чая.
- Избыточное употребление мягкой и сладкой пищи, недостаток твердой еды в рационе.
- Пережевывание пищи только с одной стороны челюсти.
- Возрастные изменения, влияющие на кислотно-щелочной баланс во рту.
Если вы столкнулись с этой проблемой, вас, вероятно, интересует, болезненно ли удалять зубной камень у стоматолога или в домашних условиях. Когда камень находится на поверхности зуба, его удаление обычно не вызывает дискомфорта. Однако если он расположен под десной, его сложно обнаружить самостоятельно, и процесс удаления может быть болезненным, хотя анестезия помогает справиться с этим. Тем не менее, страх перед болезненностью не должен мешать лечению.
В стоматологических клиниках перед удалением зубного камня часто проводят процедуру размягчения минерализованного налета. Затем врач использует ультразвук или лазер для его удаления. Но как же избавиться от зубного камня в домашних условиях? Первым шагом могут стать специальные зубные пасты.
Как избавиться от зубного камня: выбор специальных паст
Эти чистящие средства имеют плотную консистенцию, хорошо пенятся и содержат абразивные частицы, которые целенаправленно воздействуют на зубной налет, помогая не только удалить зубной камень, но и отполировать и отбелить эмаль.
Существуют определенные правила использования таких паст:
- Для достижения наилучшего результата необходимо использовать щетки с жесткой щетиной.
- Чистка должна проводиться курсами: пасты применяются дважды в день в течение 10-14 дней, затем следует сделать перерыв на 2-2,5 недели.
- Для решения проблемы, как убрать зубной камень в домашних условиях, лучше использовать две разные пасты: одну утром, другую вечером. Например, утром подойдет хорошо пенящееся средство с кальцием, а вечером — отбеливающая паста с серебром и фтором.
- При выборе пасты важно учитывать, что только средства с индексом RDA от 120 будут эффективны.
К числу эффективных паст с абразивными частицами и отбеливающими компонентами можно отнести:
- Пасты Splat, которые имеют специальные формулы для борьбы с налетом от кофе и сигарет.
- Lacalut, содержащие вяжущие компоненты, помогающие укрепить десны.
- Новый жемчуг (отбеливающая).
- Натуральные органические зубные пасты.
- Blend-a-med.
- Colgate.
- Пасты с ионами серебра.
Однако использование специализированных паст для отбеливания зубов не гарантирует, что проблема с налетом исчезнет. Рекомендуется раз в неделю использовать обычный зубной порошок, а также регулярно применять антимикробные и очищающие средства для полоскания рта, не забывая о зубочистках и зубной нити.
Если обратиться к стоматологу с вопросом, как удалить зубной камень в домашних условиях, ответ будет однозначным: «Никак». Считается, что только в условиях клиники можно эффективно решить эту проблему за одно посещение. Тем не менее, существуют народные средства, которые требуют больше времени и регулярного применения для достижения хотя бы минимального эффекта.
Перед тем как использовать домашние методы, важно помнить:
- Не пытайтесь расколоть или подцепить зубной камень, чтобы удалить его; это может повредить эмаль.
- Не используйте профессиональные инструменты, такие как скребки, если у вас нет опыта работы стоматологом-гигиенистом.
- Не пытайтесь удалить камни, находящиеся под деснами; это может привести к инфекции и воспалению.
- Не злоупотребляйте кислым или щелочным воздействием на зубные отложения; это может повредить эмаль и привести к гниению зубов.
О том, как удаляют зубной камень в медицинских учреждениях, можно узнать из представленного ниже видео:
Врачи подчеркивают, что удаление зубного камня в домашних условиях требует осторожности и знаний. Одним из наиболее рекомендуемых методов является использование зубной нити и щетки с мягкой щетиной, что помогает предотвратить накопление налета. Специалисты также советуют применять специальные пасты с абразивными компонентами, которые способствуют удалению зубного камня. Однако важно помнить, что такие методы эффективны только на начальных стадиях образования налета. Врачи предупреждают, что использование домашних средств, таких как сода или уксус, может повредить эмаль зубов и десен. Поэтому регулярные визиты к стоматологу остаются необходимыми для профессиональной чистки и контроля состояния зубов.

Эксперты в области стоматологии подчеркивают, что удаление зубного камня в домашних условиях требует осторожности и осведомленности. Одним из наиболее эффективных методов является регулярное использование зубной нити и щеток с мягкой щетиной, что помогает предотвратить накопление налета. Также рекомендуется применять специальные пасты, содержащие абразивные компоненты, которые способствуют удалению зубного камня.
Некоторые специалисты советуют использовать растворы на основе уксуса или соды, однако важно помнить, что чрезмерное применение может повредить эмаль. Полоскания с солевыми растворами также могут быть полезны для поддержания здоровья десен. Тем не менее, эксперты настоятельно рекомендуют периодически посещать стоматолога для профессиональной чистки, так как только специалист может полностью удалить зубной камень и предотвратить возможные осложнения.

Методы из народной медицины
Ища способ, как убрать зубной камень в домашних условиях, в первую очередь стоит обратиться к различным настоям и отварам. Они действуют медленно, однако наносят минимальный вред организму.
Шалфей
Отвар из
шалфея
прекрасно борется со многими болезнями, помогает он разрушить и зубные камни. Необходимо заварить 2-4 ложки травы либо взять 4 фильтр-пакетика с шалфеем и залить их крутым кипятком (стакан). Горячая настойка отстаивается в течение 15-30 минут. Затем остужается. Следует полоскать рот отваром регулярно после приема пищи, утром, вечером по половинке стакана.
Мед
Самый вкусный, простой, но малоэффективный способ того, как убрать зубной камень дома – это медовое полоскание. Столовая ложка цветочного медка растворяется в стакане с теплой кипяченой водой. После полощется рот этим средством в течение 3-5 минут.
Грецкий орех
- Кора веток орехового дерева заваривается в стакане кипятка (2 ложки сырья). Настаивается в течение двух часов. Затем процеживается. Можно полоскать рот или чистить зубы, обмакивая в отвар щетку.
- Измельченная скорлупа, а также ядрышки грецких орехов замачиваются на ночь. Поутру жидкость процеживается и применяется в качестве полоскания.
Отвар из репейника и фасоли
Несколько ложек сухого репейника добавляются к фасолевой кожуре. Все заливается водой и ставится на медленный огонь. Отваривается смесь в течение 35-45 минут. После ее нужно процедить, остудить и полоскать полость рта дважды в сутки.
Дополнительными травами, помогающими облегчить процесс удаления камней с зубов дома, считаются:
- полевой хвощ;
- липовый цвет;
- корзинки подсолнечника.
Дополнительные рецепты смесей для того, чтобы снять зубной камень в домашних условиях
- Паста из тертой черной редьки с добавлением 3-6 капель свежего сока лимона либо лайма. Эту смесь следует жевать в течение 2-5 минут один раз в сутки.
- В стакан теплой воды добавить 50 мл перекиси водорода, все перемешать. Потом неспешно полоскать рот.
- Смешать ложечку соли и ложечку пищевой соды. Добавить к ним несколько капель теплой воды до получения однородной густой массы. Эту массу на 1,5-2 минуты наносят на зубной камень. После нужно прополоскать рот водой. Чистить зубы пастой можно не ранее, чем через 30 минут.
- На две ложки соды нанести несколько капель перекиси водорода до получения густой консистенции. Затем из нее делаются примочки. Процесс использования идентичен рецепту с солью, который описан выше.
- Тертый имбирь, пара щепоток морской соли в качестве абразивного вещества, кварцы, куркума смешиваются между собой, перетираются в порошок. Далее, применять раз в два дня в качестве средства для очищения зубной поверхности.
- Смешать между собой хвою ели, пихты, сосны. После пережевывать данную смесь, не глотая слюну, в течение некоторого времени.
Удаление зубного камня в домашних условиях — тема, которая вызывает много обсуждений. Многие люди делятся своими методами, которые, по их мнению, помогают поддерживать здоровье зубов. Одним из популярных способов является использование пищевой соды. Она обладает абразивными свойствами и помогает удалить налет. Некоторые предпочитают применять перекись водорода, считая, что она эффективно борется с бактериями. Также встречаются рекомендации по использованию уксуса, однако важно помнить о его кислотности, которая может повредить эмаль. Не менее распространены советы по применению специальных зубных паст, содержащих ферменты, которые способствуют расщеплению зубного камня. Однако большинство стоматологов предупреждают, что домашние методы не могут полностью заменить профессиональную чистку. Поэтому, несмотря на множество положительных отзывов, регулярные визиты к стоматологу остаются важной частью ухода за полостью рта.
| Способ удаления зубного камня | Описание | Эффективность и риски |
|---|---|---|
| Использование электрической зубной щетки | Электрические зубные щетки, особенно звуковые и ультразвуковые, создают высокочастотные вибрации, которые разрушают зубной налет и камень. | Эффективность: Высокая для профилактики и удаления мягкого налета. Риски: Низкие при правильном использовании. Не удаляет твердый, застарелый камень. |
| Применение ирригатора | Ирригатор подает пульсирующую струю воды под давлением, которая вымывает остатки пищи и мягкий налет из межзубных промежутков и десневых карманов. | Эффективность: Высокая для удаления мягкого налета и профилактики образования камня. Риски: Низкие. Не удаляет уже сформировавшийся твердый камень. |
| Использование зубной нити (флосса) | Регулярное использование зубной нити помогает удалить налет и остатки пищи из межзубных промежутков, где зубная щетка не достает. | Эффективность: Высокая для профилактики образования камня и удаления мягкого налета между зубами. Риски: Низкие при правильной технике. Не удаляет твердый камень. |
| Применение специальных зубных паст | Некоторые зубные пасты содержат абразивные частицы или химические компоненты (например, пирофосфаты), которые помогают замедлить образование зубного камня и удалить мягкий налет. | Эффективность: Средняя для профилактики и удаления мягкого налета. Риски: Низкие. Не удаляют уже сформировавшийся твердый камень. |
| Полоскание рта специальными ополаскивателями | Ополаскиватели с антибактериальными компонентами (например, хлоргексидин, цетилпиридиния хлорид) уменьшают количество бактерий в полости рта, что замедляет образование налета и камня. | Эффективность: Средняя для профилактики. Риски: Низкие. Не удаляют уже сформировавшийся твердый камень. Длительное использование некоторых ополаскивателей может вызвать окрашивание зубов. |
| Жевательная резинка без сахара | Жевательная резинка стимулирует слюноотделение, которое помогает смывать остатки пищи и нейтрализовать кислоты, замедляя образование налета. | Эффективность: Низкая для удаления, средняя для профилактики. Риски: Низкие. Не удаляет зубной камень. |
| Способ удаления | Описание | Эффективность и риски |
|---|---|---|
| Зубная щетка и паста | Регулярная чистка зубов (минимум 2 раза в день по 2 минуты) с использованием фторсодержащей зубной пасты. | Эффективность: Высокая для предотвращения образования нового налета и удаления мягкого налета. Риски: Низкие, при правильной технике чистки. Не удаляет уже сформировавшийся зубной камень. |
| Зубная нить/Ирригатор | Использование зубной нити для очистки межзубных промежутков и ирригатора для вымывания остатков пищи и налета. | Эффективность: Высокая для удаления налета из труднодоступных мест. Риски: Низкие. Не удаляет уже сформировавшийся зубной камень. |
| Специальные зубные пасты | Пасты с абразивными частицами или ферментами, предназначенные для борьбы с налетом. | Эффективность: Могут помочь замедлить образование зубного камня и удалить мягкий налет. Риски: Чрезмерное использование абразивных паст может повредить эмаль. Не удаляют уже сформировавшийся зубной камень. |
| Полоскания для рта | Антибактериальные ополаскиватели для рта. | Эффективность: Уменьшают количество бактерий в полости рта, что замедляет образование налета. Риски: Низкие. Не удаляют уже сформировавшийся зубной камень. |
| Жевательная резинка без сахара | Стимулирует слюноотделение, которое помогает смывать остатки пищи и нейтрализовать кислоты. | Эффективность: Низкая, вспомогательный метод. Риски: Низкие. Не удаляет уже сформировавшийся зубной камень. |
| Народные средства (уксус, сода, лимон) | Использование растворов уксуса, соды или лимонного сока для полоскания или чистки. | Эффективность:Крайне низкая и потенциально опасная. Могут временно осветлить зубы, но не удаляют камень. Риски:Высокие. Могут повредить эмаль, вызвать раздражение десен, усугубить проблемы с зубами. Категорически не рекомендуется. |
Интересные факты
Вот несколько увлекательных фактов о наиболее эффективных способах удаления зубного камня в домашних условиях:
-
Пищевая сода и лимонный сок: Сочетание пищевой соды с лимонным соком может стать действенным средством для борьбы с зубным камнем. Пищевая сода обладает абразивными свойствами, а лимонный сок — кислотными, что способствует разрушению минеральных отложений. Тем не менее, важно применять этот метод осторожно, чтобы не повредить зубную эмаль.
-
Кокосовое масло: Полоскание рта кокосовым маслом стало популярным способом улучшения здоровья зубов и десен. Это масло обладает антибактериальными свойствами и может помочь в снижении образования зубного камня, а также в борьбе с бактериями, которые вызывают кариес и заболевания десен.
-
Регулярное использование зубной нити: Хотя это не совсем “удаление” зубного камня в привычном понимании, регулярное применение зубной нити может предотвратить его появление. Зубная нить эффективно удаляет остатки пищи и налет из труднодоступных мест между зубами, что снижает вероятность образования зубного камня.
Не забывайте, что хотя домашние методы могут быть полезны для ухода за полостью рта, регулярные посещения стоматолога остаются важными для профессиональной чистки и контроля состояния зубов.
Три «экстремальных» способа против зубного камня
-
Натуральное пихтовое масло эффективно помогает в борьбе с твердым налетом на зубной эмали. Для этого необходимо смочить ватную палочку или тампон маслом и аккуратно протереть зубы или сделать компресс на область зубного камня. Масло чайного дерева также можно использовать аналогичным образом. Оба этих средства способны разрушать минерализованный слой, однако стоит помнить, что они могут нанести серьезный вред, ослабляя эмаль.
-
Как же избавиться от зубного камня во время чистки зубов? В этом случае можно воспользоваться обычной глиной или золой, которые, немного разведенные теплой водой, наносятся на щетину зубной щетки.
-
Существует еще один радикальный метод: полировка зубной поверхности с помощью мягких палочек из апельсина или ватных, смоченных в медовом растворе (рецепт такой же, как для полоскания) или отваре хвойных деревьев, таких как пихта, сосна и ель.
Процесс удаления затвердевшего налета с зубов требует значительного времени, особенно если он выполняется в домашних условиях. Эффективность самостоятельного удаления зубного камня достаточно низка, но в экстренных ситуациях может дать определенные результаты.

Профилактика образования зубного камня в домашних условиях
Профилактика зубного камня является ключевым аспектом ухода за полостью рта и может значительно снизить вероятность его появления. Существует множество действенных методов, которые можно применять в домашних условиях для предотвращения накопления зубного налета и, как следствие, образования зубного камня.
1. Регулярная и правильная чистка зубов
Чистка зубов дважды в день с использованием фторсодержащей пасты — это основа профилактических мер. Важно обращать внимание на технику чистки: движения должны быть круговыми и вертикальными, а не горизонтальными. Не забывайте также очищать язык, так как на его поверхности могут скапливаться бактерии.
2. Применение зубной нити
Зубная нить помогает удалять остатки пищи и налет из межзубных промежутков, куда не может добраться зубная щетка. Регулярное использование зубной нити не только предотвращает образование зубного камня, но и снижает риск кариеса и заболеваний десен.
3. Полоскания антисептическими растворами
Полоскания рта антисептическими растворами или ополаскивателями помогают уничтожить бактерии, способствующие образованию налета. Выбирайте продукты, содержащие хлоргексидин или другие антисептики, и используйте их в соответствии с инструкцией.
4. Правильное питание
Сбалансированное питание имеет важное значение для здоровья зубов. Увеличьте потребление овощей и фруктов, которые способствуют естественному очищению зубов. Избегайте избыточного потребления сахара и кислых продуктов, так как они могут способствовать образованию налета.
5. Увлажнение
Недостаток слюны может привести к увеличению образования зубного камня, так как слюна помогает нейтрализовать кислоты и очищать зубы. Убедитесь, что вы пьете достаточное количество воды в течение дня, и при необходимости используйте специальные увлажняющие средства для полости рта.
6. Регулярные визиты к стоматологу
Хотя это и не совсем домашний метод, регулярные осмотры у стоматолога помогут выявить проблемы на ранних стадиях и предотвратить образование зубного камня. Стоматолог может провести профессиональную чистку зубов, что значительно снизит риск накопления налета.
Следуя этим рекомендациям, вы сможете существенно уменьшить вероятность образования зубного камня и сохранить здоровье своих зубов на долгие годы.
Рекомендации по выбору зубной пасты и ополаскивателя для профилактики зубного камня
Выбор правильной зубной пасты и ополаскивателя является важным шагом в профилактике образования зубного камня. Зубной камень образуется из-за накопления налета, который, если его не удалить, минерализуется и превращается в твердые отложения. Поэтому использование качественных средств для ухода за полостью рта может значительно снизить риск его появления.
При выборе зубной пасты обратите внимание на следующие аспекты:
- Фторид: Пасты, содержащие фторид, помогают укрепить эмаль зубов и предотвращают образование налета. Фторид способствует реминерализации зубной эмали, что делает зубы более устойчивыми к кариесу и образованию камня.
- Антибактериальные компоненты: Пасты с антибактериальными свойствами, такие как хлоргексидин или триклозан, могут помочь в борьбе с бактериями, вызывающими налет. Это особенно важно для людей, склонных к образованию зубного камня.
- Отбеливающие средства: Некоторые зубные пасты содержат отбеливающие компоненты, которые могут помочь удалить поверхностные пятна и налет. Однако будьте осторожны с их использованием, так как чрезмерное применение может повредить эмаль.
- Пасты для чувствительных зубов: Если у вас чувствительные зубы, выбирайте пасты, специально разработанные для этой проблемы. Они содержат ингредиенты, которые уменьшают чувствительность и помогают поддерживать здоровье десен.
Что касается ополаскивателей для рта, они также играют важную роль в профилактике зубного камня:
- Антисептические ополаскиватели: Использование ополаскивателей с антисептическими свойствами может помочь уничтожить бактерии, которые способствуют образованию налета. Это особенно полезно в дополнение к чистке зубов.
- Ополаскиватели с фтором: Они не только помогают укрепить эмаль, но и обеспечивают дополнительную защиту от налета. Регулярное использование таких ополаскивателей может значительно снизить риск образования зубного камня.
- Безалкогольные ополаскиватели: Если вы хотите избежать раздражения слизистой оболочки рта, выбирайте безалкогольные варианты. Они менее агрессивны и подходят для ежедневного использования.
Важно помнить, что использование зубной пасты и ополаскивателя не заменяет регулярную чистку зубов и посещение стоматолога. Однако правильный выбор средств для ухода за полостью рта может значительно улучшить ваше общее состояние зубов и десен, а также снизить риск образования зубного камня.
Вопрос-ответ
Как убрать камни с зубов без стоматолога?
Используйте зубную нить и ирригатор – щётка не проникает в межзубные промежутки, а там скапливается 90 % налёта. Полощите рот после еды – даже обычная вода помогает удалить остатки пищи. Следите за питанием – яблоки и морковь помогают очищать зубы, а кофе, сладости и газировка, наоборот, ускоряют образование налёта.
Что лучше всего растворяет зубной камень?
Самым безопасным методом удаления зубных камней у стоматолога является ультразвуковой метод чистки. С его помощью врач сможет удалить зубной камень, не повредив ни эмаль, ни десну. Следующим этапом является использование аппарата Kavo Prophyflex и специальных порошков.
Можно ли пользоваться ультразвуковым скалером дома?
Ультразвуковым стоматологическим скалером для домашнего использования запрещено пользоваться без орошения. В данном случае имеется высокий риск перегрева клыков, моляров, премоляров. Существует большой риск травмирования слизистой.
Чем растворить зубной камень на протезах?
Наилучшее решение для избавления от зубного камня на протезе — это отдать его в зуботехническую лабораторию на чистку. В лаборатории специальными щетками уберут этот камень и отполируют поврежденное место.
Советы
СОВЕТ №1
Используйте зубную пасту с абразивными частицами. Такие пасты помогают эффективно удалять зубной камень и налет, благодаря своей текстуре. Регулярная чистка зубов с такой пастой поможет поддерживать здоровье зубов и десен.
СОВЕТ №2
Применяйте натуральные средства, такие как сода и лимонный сок. Смешайте небольшое количество пищевой соды с лимонным соком до получения пасты и аккуратно почистите зубы. Это поможет удалить налет и предотвратить образование зубного камня.
СОВЕТ №3
Не забывайте о регулярном использовании зубной нити. Зубная нить помогает удалить остатки пищи и налет из труднодоступных мест между зубами, что значительно снижает риск образования зубного камня.
СОВЕТ №4
Пейте больше воды и избегайте сладких напитков. Увлажнение организма и снижение потребления сахара помогут предотвратить образование налета и зубного камня, а также поддержат общее здоровье полости рта.

